Rapid Progression of Black Lung Disease Highlights Need for Regular Screening of Coal Miners
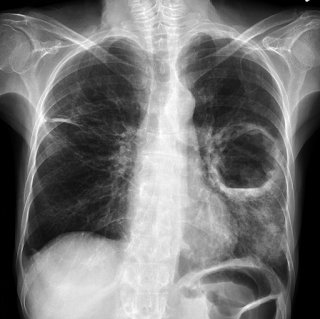
Many coal miners who initially had a normal imaging test developed the most severe form of coal-dust—related lung disease within 21 years, and some within 10 years, according to a recent NIOSH study published in the journal Occupational and Environmental Medicine. These findings highlight the importance of regular chest imaging, or radiography, and lung function tests for all coal miners.
Work-related lung disease among coal miners, also known as black lung disease, results from breathing in coal mine dust, which causes inflammation and scarring, or fibrosis, in the lungs. Coal mine dust can also cause chronic obstructive pulmonary disease, or COPD. Regular screening is critical to catch early stages of black lung disease so that steps can be taken to prevent progression to severe disease. In the United States, coal miners are entitled to receive free screening when they start working in the industry and about every 5 years after that for as long as they keep working in coal mining. NIOSH recommends that miners take advantage of this important opportunity.
Black lung disease is severe, often deadly, and has no cure. It is also entirely preventable by avoiding exposure to coal dust. After decades of decline, however, the occurrence of advanced black lung disease, known as progressive massive fibrosis, recently began to climb, especially in central Appalachia.
To understand this increase, NIOSH investigators analyzed data from the Coal Workers’ Health Surveillance Program. The NIOSH program provides the opportunity for all current coal miners to receive confidential health screenings at no cost to the miner. The investigators identified 192 miners who developed severe lung disease after the year 2000 and who had received at least two chest radiographs. It was found that most of these miners had a normal initial radiograph before progressing to severe lung disease nearly 21 years later, on average. Although almost half of the miners progressed from normal to severe lung disease in more than 20 years, 16.6% progressed in less than 10 years, and 35% in 11–20 years. Participants’ average age at the beginning of the study was 29 years, and all were male. Most worked in Kentucky, Virginia, or West Virginia.
The NIOSH mobile testing unit depicted above provides confidential health screenings at no cost to miners as part of the Coal Workers’ Health Surveillance Program. Photo from NIOSH.
More information is available:
Radiographic Disease Progression in Contemporary U.S. Coal Miners with Progressive Massive Fibrosis
NIOSH Coal Workers’ Health Surveillance Program
NIOSH Respiratory Health Division
